
骨盤の疲労骨折とは?
原因・症状・超音波治療を解説

骨盤の疲労骨折について
骨盤の疲労骨折に
しっかり対応します
骨盤の疲労骨折は、ランニングやジャンプなどの繰り返し動作によって起こるケガで、股関節や鼠径部、お尻、腰の痛みとして現れることがあります。初期は症状が軽く見逃されやすい一方で、無理を続けると悪化し、治癒までに長期間を要することもあります。
当院では、スポーツによる骨折に幅広く対応し、症状や原因に応じた適切な施術を提供します。また骨折の回復だけでなく、再発を防ぐための動作改善や身体機能の向上にも取り組みます。

このような場合はご相談ください
運動すると股関節の前や臀部が痛い
走ったあとだけ痛みが出る
安静にすると軽くなるが、再開する痛くなる
片足で立つと骨盤まわりが痛い
長距離ランニングやジャンプ動作を繰り返している
レントゲンでは異常がないと言われたが、痛みが続いている
骨盤の疲労骨折とは?
骨盤の疲労骨折はあまり多くはないケガで、疲労骨折全体の中でも約1.4〜2.0%にみられるものです。スポーツをしている方に起こりやすく、特にランニングやジャンプ、ボールを蹴る動作などを繰り返すことで、少しずつ骨に負担がたまり発症します。
また、女性のアスリートでは、食事量の不足や無月経などが影響して、骨が弱くなり起こることもあります。
一方で、高齢の方では骨粗しょう症などにより骨が弱くなっていると、日常生活の動きでも負担がかかり、発症することがあります。

骨盤の疲労骨折の原因は?
スポーツによる骨盤の疲労骨折は、練習量が急に増えたときや、練習環境が変わったときに起こりやすいとされています。
例えば、試合前に練習を増やしたときや、休んでいたあとに急に運動を再開したとき、走る路面が変わったとき、シューズを変えたときなどは、体にかかる負担が変わり、骨にストレスがたまりやすくなります。
また女性アスリートでは、生理が止まってしまう(無月経)ことで骨が弱くなり、疲労骨折が起こりやすくなることがあります。
アスリート
- 練習量の急増(オーバーユース)
- 路面・環境変化
- 筋疲労・筋力低下
- 動作不良(フォーム・左右差)
- 女性:無月経・低栄養
一般・高齢者
- 骨粗鬆症
- ステロイド長期使用
- 関節リウマチ・悪性疾患
発生メカニズム
骨盤は、体を支える土台のような役割をしており、上半身と下半身をつなぐ大切な部分です。歩く・走る・ジャンプするといった動きのときには、体にかかる力を骨盤が受け取り、全身に伝えています。
骨盤には多くの筋肉がついており、スポーツなどで体を繰り返し動かすと、その筋肉が骨を引っ張る力や体重による負担が同じ場所にかかり続けます。その結果、骨に少しずつダメージがたまり、疲労骨折が起こります。
① 筋肉による牽引ストレス
特に恥骨では、複数の筋肉が反対方向に引っ張り合うことで負担が集中したり、骨盤のねじれによってストレスがかかりやすくなります。

② 圧縮・剪断ストレス
両足からの体重の力が骨盤を通って体に伝わるときに、骨盤にズレるような力(剪断力)が加わることも原因になります。

③ 骨盤帯機能不全
- 仙腸関節の可動異常
- 筋力低下
- 体幹機能低下

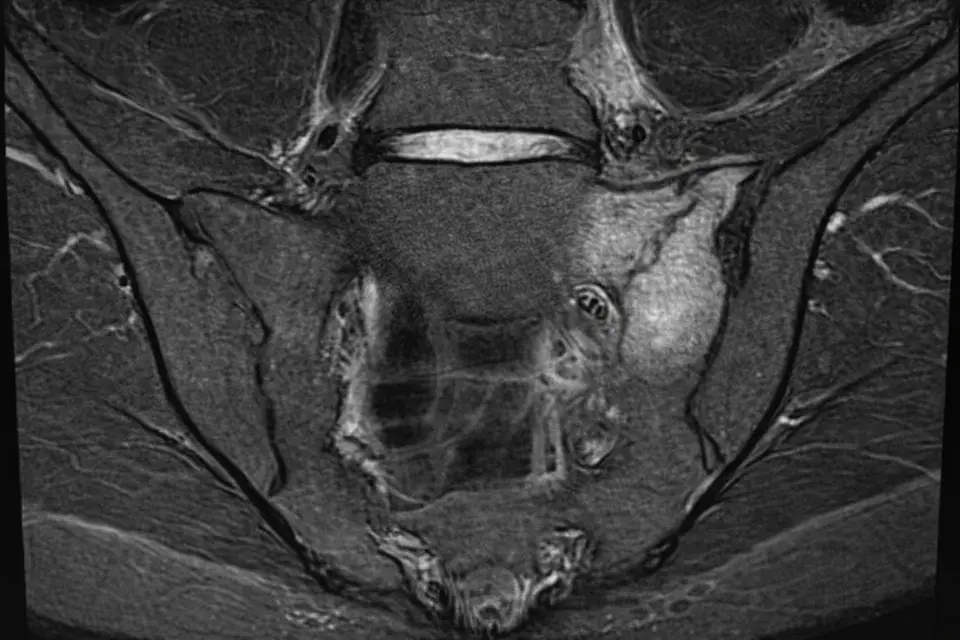
骨盤部疲労骨折の検査法は?
レントゲンでは初期には異常が見つからないことも多いため、MRI検査が早期発見にとても重要です。
必要に応じて、骨の状態を詳しく確認するためにCT検査を行うこともあります。

恥骨の疲労骨折
骨盤の疲労骨折の中で、最も多いのが「恥骨」の疲労骨折です。多くは恥骨下枝の部分に起こります。主な症状は、運動したときに股関節の前(鼠径部)が痛くなることです。特に女性に多く、さまざまなスポーツで起こりますが、長距離ランナーに多いのが特徴です。

この骨折は、骨の構造的に弱い部分に負担がかかることで起こります。さらに、太ももの内側の筋肉や裏側の筋肉などが、お互いに引っ張り合うことで、恥骨にストレスが集中することも原因と考えられています。また、女性では骨盤の形やホルモンバランスの影響も関係するといわれています。
- 運動時の股関節の前(鼠径部)の痛み
- 太ももの内側の痛み
- 恥骨のあたりを押すと痛い
- 片足で立つと痛みが出る
初期の段階ではレントゲンに異常が映らないことも多いため、必要に応じてMRIなどの検査が行われます。治療は基本的に安静が中心で、運動を続けてしまうと治るまでに時間がかかるため、早めに気づいて適切に休むことが大切です。

多くの場合、6〜10週間しっかり安静にすることで治癒が期待できます。
骨盤はリングのようにつながった構造をしているため、1か所に負担がかかった状態で動き続けると、その負担が他の部分にも広がってしまいます。
そのため、完全に治る前に運動を再開すると、同じ側の別の場所や反対側にも骨折が起こることがあります。

Noakesの三徴
Noakesらは、
- ランニングの妨げになるような鼠径部(股関節の前)の痛み
- 恥骨下枝を押すと痛みがある(圧痛)
- 片足で立ったときに鼠径部が痛い(positive standing sign)
の3つがそろうと恥骨の疲労骨折が疑われるとしています。

Positive standing sign
痛みがある側の脚で片足立ちをし、そのまま体を前に倒したときに、支えている脚の股関節の前(鼠径部)に違和感や痛みが出る状態を「Positive standing sign」といいます。

坐骨の疲労骨折
坐骨の疲労骨折は、スポーツによるケガの中でも比較的まれなものです。特に野球のピッチャーで、踏み出す側の脚の坐骨後部に起こることがあります。
この骨折は太ももの裏の筋肉(ハムストリングス)が坐骨に強く引っ張る力や、股関節にかかる負担が重なり骨にストレスがかかることで発生すると考えられています。
- 走るときにお尻に痛みが出る
- 痛みは比較的軽いことが多い
- 坐骨のあたりを押すと、はっきりと痛みが出る
MRI検査が有効で、早い段階で見つけることができます。また、ある程度時間が経つと、CT検査で骨の変化を確認できることもあります。
治療はまずマウンドからの投球を中止し、痛みが出ない範囲で平地でのキャッチボールから再開していきます。骨がくっつくまでには数か月から半年ほどかかります。

仙骨の疲労骨折
仙骨の疲労骨折は、主に女性の長距離ランナーにみられます。重い物を持つ仕事やトレーニングで起こることもあります。特に高齢の方では、骨粗しょう症によって骨が弱くなっているため、買い物袋を長時間持って歩いたり、重い荷物を運ぶだけでも発症することがあります。
仙骨は、両足からの体重や衝撃を上半身へ伝える役割があります。通常は、股関節まわりやお腹の筋肉がその負担をやわらげていますが、負荷が大きくなりすぎたり、筋肉がうまく働かなくなると、仙骨に繰り返しストレスがかかり、骨折につながると考えられています。
- 片側の腰の痛みがある
- お尻に痛みがある
- 股関節に痛みがある
- はっきりした原因がわかりにくい
- スポーツ中の「なんとなく続く腰痛」として現れることがある
- 見逃されやすいため注意が必要
診断にはMRIなどの検査が有効で、早い段階で見つけることができます。
治療は基本的に安静が中心で、運動を一時的に中止することで回復が期待できます。手術が必要になることはほとんどありません。また、仙骨は血流が豊富なため、比較的治りやすくスポーツへの復帰も他の疲労骨折に比べて早い傾向があります。
ただし女性の長距離選手に多く、エネルギー不足や無月経、骨の弱さといった問題が関係していることが多いため、治療ではケガだけでなく、食事や体の状態を含めた全体的な見直しが重要になります。


骨折の回復を早めたい方へ
骨折は「安静にしていれば治る」と思われがちですが、回復には時間がかかり、日常生活やスポーツ復帰に影響が出ることも少なくありません。
そこで注目されているのが、LIPUS(低出力超音波治療)です。
骨癒合までの期間を約40%短縮
研究では、骨癒合までの期間が約40%短縮したと報告されています。
- 骨癒合の促進
- 痛みの軽減
- スポーツ・日常生活への早期復帰
特に、仙骨や骨盤など安静が難しく治りにくい骨折の治療として有効とされています。

なぜ骨の治りが早くなるのか?
LIPUSは、微弱な超音波を骨折部に当てることで、骨折部の回復力を高めます。

- 骨を作る細胞(骨芽細胞)を活性化
- 骨折部の血流を改善し、栄養と酸素を届ける
- カルシウムの沈着を促進し、骨の強度を回復
つまり「骨を作る力」と「治る環境」を同時に高める治療です。

当院の強み
- 痛みの原因を“組織レベル”で評価
- 専門的な徒手療法・物理療法・運動療法
- 一人ひとりに合わせたオーダーメイド対応

.webp)
この記事を書いた人
アルコット接骨院院長
柔道整復師
フットケアトレーナーマスターライセンス、足爪補正士、テーピングマイスター、IASTMマニュアルセラピスト、FMS 、SFMA、FCS、BPL mentorship program修了、マイオキネマティック・リストレーション、ポスチュラル・レスピレーション、ペルビス・リストレーション、インピンジメント&インスタビリティ修了 脚の長さコーディネーター
発生メカニズム